Do you have hand pain after punching a wall? It could be a
boxer’s fracture. Boxer’s fractures are very common hand injuries. The typical cause is striking a hard surface with a clenched fist – such as punching a wall. These injuries can also occur in contact sports, automobile collisions, altercations, or falling to the ground on an outstretched hand.
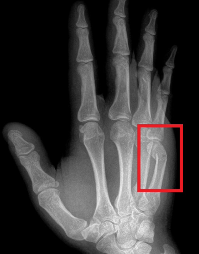
A boxer’s fracture specifically is a fracture of the fifth metacarpal neck. The hand has five metacarpals, one for each finger and the thumb. The metacarpals make up the bony architecture of the hand between the wrist and the fingers. The fifth metacarpal is at the base of the small finger, or pinkie. The metacarpal neck is the part of the bone between the head and shaft of the metacarpal, closest to the MCP “knuckle” joint.

The most common signs of a boxer’s fracture are:
- Pain
- Bruising
- Swelling
- Limited finger range of motion
- Grip weakness
- Deformity: The knuckle can look out of place or missing. The finger can also look deformed or crooked.
If these symptoms do not go away within a brief period of observation, patients should be evaluated by a medical professional.
Early treatment for a boxer’s fracture includes resting the hand, immobilization, ice, elevation, and oral anti-inflammatory medications to relieve pain, swelling, and inflammation. Most patients do not require expensive medical treatment or surgery in order to achieve a good functional result. Several studies have shown that most patients benefit from simple treatment and can expect good long-term hand function. However, patients should be advised that there may be a cosmetic difference between the injured and uninjured hands.
Patients with these injuries may benefit from specialized orthopedic care. This treatment includes x-ray evaluation, custom splinting, and hand therapy. Traditionally, many patients have been treated with closed reduction and casting of fifth metacarpal fractures. This involves the use of a local anesthesia injection and manipulation of the fracture site to improve the x-ray alignment. Recent studies have shown us that this procedure may not provide any long-term benefit to patients with mild-to-moderate severity fractures.
In most cases, treatment consists of activity modifications and using a removable splint for 3-6 weeks. As patients heal, they are guided to increase their hand activity within their pain tolerance and progress through a series of range of motion and hand strengthening exercises. Hand therapy is available to help patients regain their pre-injury hand function more quickly. Most patients typically regain normal hand function about 2-3 months following this injury.
Rarely is surgery required for patients with a boxer’s fracture. If there is significant angulation at the fracture site or if the finger is malrotated, surgery can be helpful to realign and stabilize the fracture. Complications from surgery include infection, stiffness, scar tissue formation, and possibly the need for additional surgery such as the removal of implants or scar tissue.
A word of caution: not all fifth metacarpal fractures are boxer’s fractures. Inexperienced clinicians often mislabel a fifth metacarpal shaft fracture as a “boxer’s fracture.” Fractures involving the shaft of the metacarpal can result in significant hand impairment if not treated adequately. Consider consultation with an orthopedic hand specialist to guide your hand care appropriately.
Dr. John M. Erickson is a hand and upper extremity surgeon at the Raleigh Hand to Shoulder Center in Raleigh, NC. He trained in orthopedic surgery at the University of Michigan and completed a hand and upper extremity fellowship at Vanderbilt University. He is an active member of the American Society for Surgery of the Hand (ASSH) and the North Carolina Society for Surgery of the Hand.